06-6481-2181 電話予約はこちら

WEB予約はこちら

Child Orthodontic 小児矯正

健康な歯並び・かみ合わせをつくるためのご案内

ステキな笑顔は歯並びから。矯正は時間がかかりますますので、早めに行いましょう。
気になることは何でも相談してください。

健康な歯並び・かみ合わせをつくるためのご案内

小児矯正の無料相談を実施中です!

小児矯正の無料相談を実施中です!

保護者の方は「うちの子どもに矯正は必要だろうか?」とか「矯正を始めるとしても何歳頃からがいいのだろうか?」など、色々な疑問や悩みをお持ちではないでしょうか。
永久歯が生えそろう前の乳歯の段階で検査や治療を始めるのが、歯並びにとって理想的です。 
ですから、できるだけ早めに相談をされることを、お勧めいたします。 

治療のススメ

お子様の歯の状態に以下のような症状がある場合は、幼児期の早期治療をお勧めします。

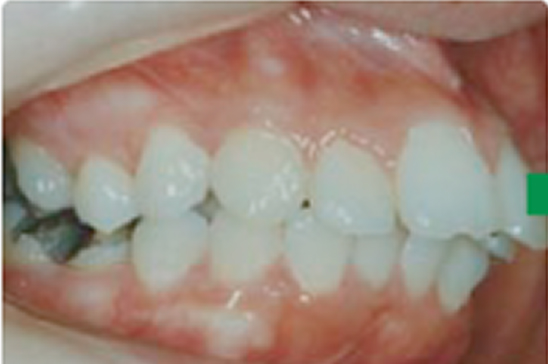
上顎前突

上顎前突 じょうがくぜんとつ [出っ歯]

前歯が飛び出したままにしておくと次第に前傾し、歯の寿命にも影響を及ぼします。また、外傷により歯が欠けたり、抜け落ちることがあります。

叢生

叢生(そうせい) [乱ぐい歯]

歯並びに凹凸があると、虫歯や歯周病になりやすくなります。
乳歯がまだ残っている時期に治療を行うと効果的です。

下顎前突

下顎前突 [うけ口]

乳歯がまだ残っている時期から一層悪化することもあるので、できるだけ早く上顎の成長を促し、下あごの成長にブレーキをかける治療が必要です。 

好ましい治療開始時期

好ましい治療開始時期

乳歯の時期(4,5歳~)

乳歯がまだ残っている時期から一層悪化することもあるので、できるだけ早く上顎の成長を促し、下あごの成長にブレーキをかける治療が必要です。

矯正の種類

床矯正

床矯正

説明

取り外し可能な装置を使用し、歯を抜かない矯正治療です。
歯を抜かれたくない、矯正治療の費用が気になる、
歯並びに不安がある方には床矯正(しょうきょうせい)をお勧めしています。

特徴

  1. 歯を抜かない

    劣成長の顎の成長を促し、歯を正常な位置に動かす治療ですので、歯をほとんど抜かずに治療することができます。

  2. 取り外し可能な矯正装置

    装置を取り外してブラッシングが出来るので、お口の中をを清潔に保つことができます。

  3. 成長期のお子様に有効的

    成長期であれば、お子様の顎や顔の成長にあわせて、歯を正常な位置に動かすことができます。

プレオルソ

プレオルソ

説明

マウスピース型の矯正装置を使って、小児(4歳から9歳ぐらいまで)の歯並びを悪くしている口周りの筋肉を訓練することで歯を正しい位置に動かす矯正治療のことです。

特徴

  1. 小児の大切な時期にこそ「プレオルソ」です。

    永久歯に生え変わってからでは、全ての歯にギラギラした装置をつけるいわゆる「本格矯正」になりますが、この治療法であれば小児(6歳~10歳)の骨の軟らかい時期に使うことで、非常に大きな効果が期待できます。

  2. 取り外しのできるマウスピース式なのでお子様が嫌がりません

    固定式の装置は、違和感や痛みが強いですが、マウスピース式は、それがほとんどありません。装着時間は就寝時と家にいる時に1時間で十分です。また、食事の時に装置をはずせるので、虫歯の心配がありません。

  3. 必要十分。実用的な「咬みあわせ」と「歯ならび」を実現します。

    「プレオルソ」は、ギラギラした固定式の装置を用いて治療を行う本格矯正とは異なり必要十分で実用的な80点の「咬みあわせ」と「歯ならび」を目指しています。

  4. 実は一番気になるお金の問題。「プレオルソ」は予算的に一般の矯正よりも始めやすい治療です。

    この治療のために開発した新素材のマウスピースを使用するので、個々の口腔内への調整がしやすく、治療効率が良いためです。

  5. ご両親が非常に気にされている「お口ポカン」に代表される口呼吸を鼻呼吸へ促します。

    「プレオルソ」は「咬みあわせ」と「歯ならび」を改善すると同時に機能的な側面「口呼吸から鼻呼吸へ」が非常に重要と考えています。マウスピースを使うこの治療法は子どもの成長発育にとても大切です。

  6. 装置を使う時間はどのくらいですか?

    家に帰ってから起きている間に「1時間」と「寝る時」に使います。学校に持っていく必要はありません。

料金

一般的な小児矯正300,000円〜500,000円(税別)
※治療内容による
※保険適用外になります