さまざまな症例を紹介します
むし歯や歯周病などの一般歯科をはじめ、インプラント治療や審美歯科などの自費治療についても紹介しています。
当院で行った実績や過去の事例を通して、診療の参考にしてください。
審美歯科
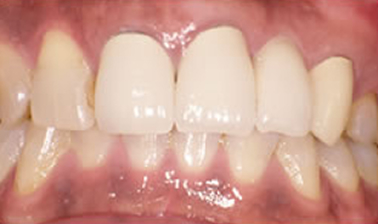
CASE 01
上
下
右
左| プロフィール | 93歳女性 |
|---|---|
| 施術 | H9年 |
| 概要 | – |
CASE 02
治療後| 施術 | H4年 |
|---|---|
| 概要 | 上顎前歯部 |
CASE 03
治療前
治療後| 概要 | 前歯2本にジルコニアを装着 |
|---|
むし歯や歯周病などの一般歯科をはじめ、インプラント治療や審美歯科などの自費治療についても紹介しています。
当院で行った実績や過去の事例を通して、診療の参考にしてください。
上
下
右
左| プロフィール | 93歳女性 |
|---|---|
| 施術 | H9年 |
| 概要 | – |
治療後| 施術 | H4年 |
|---|---|
| 概要 | 上顎前歯部 |
治療前
治療後| 概要 | 前歯2本にジルコニアを装着 |
|---|